Patologjia veterinare është një nga disiplinat bazë të Fakultetit të Mjekësisë Veterinare. Ajo është dispinë formuese dhe klinike sepse jo vetëm I formon studentët nga pikpamja teorike por edhe shërben për vendosjen e diagnozës në kafshën e gjallë por mbi të gjitha diagnozën post mortem.
Vendosja e diagnozës është një sfidë për veterinerin. Natyra “multispecies” e patologjisë veterinare e bën atë të vështirë, por nga ana tjetër e vendos në pozicion qendror. Diagnoza bazohet në gjetjet post-mortem, të cilat mbeten edhe problematike. Metoda post mortem vazhdon të jetë fokusi kryesor i patologjisë veterinare sic është teknika histopatologjike, “gold standart” në vendosjen e diagnozës përfundimtare. Diagnoza vendoset zakonisht nëpërmjet biopsisë dhe vlerësimit histopatologjik të indeve. Egzaminimi histologjik shërben për për diagnozën përfundmtare dhe ndihmon në parashikimin e ecurisë së sëmundjeve të ndryshme, përfshirë edhe tumoret në kafshët e vogla. Teknikat bazë për ngjyrosjen janë Hematoksilinë -Eozinë (H-E), Masson Trichrome (MT), për ngjyrimin e fijeve kolagjene vecanërisht në rastet e fibrozës.

Ngjyrim me MT i adenomës së gjendrës së gjirit në bushtra
Citologjia është një fushë shumë e dobishme e patologjisë veterinare. Ajo eshte metodë diagnostike për të përcaktuar shkakun dhe natyrën e sëmundjes. Citologjia është jo e kushtueshme, e thjeshtë, pa dhimbje, me risk të vogël për pacientin, mundësi të shpejtë të përftimit të rezultateve dhe kryhet në kafshën e gjallë, shpesh përpara ndërhyrjes kirurgjkale.
Informacioni që përftohet nëpërmjet kësaj metodë shërben për vendojen e një diagnoze paraprake si dhe në diferencimin e lezioneve neoplastike nga ato joneoplastike apo inflamative.
Citologjia vaginale është një element ndihmës dhe mjaft i dobishëm në shumë patologji si sëmundjet inflamative të mitrës në qen dhe mace, si psh piometra, endometriti, etj

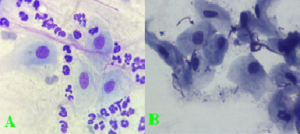
Citologjia vaginale: Qeliza epiteliale, neutrofilë dhe bakterie
Vec sëmundjeve të aparatit gjinor, lëkurës, limfomave të ndryshme, etj edhe tumoret e lëkurës dhe të gjirit në kafshët e shoqërimit mund të diagnostikohen me anë të citologjisë, vecanërisht para ndërhyrjes kirurgjikale, duke përcaktuar natyrën beninje ose malinje të tyre. Kjo metodë mund të përdoret si teknikë scrrening për përcaktimin e natyrës së masës tumorale. Ne këshillojmë përdorimin e saj para se mjeku veteriner të vendosë për largimin e masës tumorale.
Përvoja klinike e këtyre viteve ka treguar se në këtë problematikë sëmundesore, tumoret e gjirit dhe të lëkurës përbëjnë shqetësim jo vetem për pronarët por edhe për mjekët veterinerë. Këto tumore gjithnjë e më shumë po ndeshen dhe kërkojnë jo vetëm nje diagnostikim të saktë dhe të hershëm por edhe trajtim të saktë dhe bashkëkohor. Tumoret mund të jenë të vegjël dhe të lëvizshëm, lobulare dhe të fortë, të lidhur fort me indet përreth, të ulçeruar/ jo.
Teknika citologjike konsiston në vlerësimin e qelizave por jo në vlerësimin e arkitekturës indore. Interpretimi i rezultateve citologjike përcakton nëse procesi është inflamativ, preneoplasik, neoplasik, natyrën beninje ose malinje të tumorit si dhe nëse kemi prani metastazash. Studimi citologjik mund të kryhet me teknika të ndryshme, me shpim (FNA), me shtypje (impression) dhe me gërryrje.
Teknika aspirative me age të hollë (FNA) Për marrjen e kampionit përdoret një age e hollë me diametër 22mm dhe kryhet nëpërmjet thithjes. Shpimi kryhet në qendër të masës, pa ushtruar presion negativ. Materiali i thithur u vendos mbi një lamë dhe shtihet, e ngjashme me një strisho gjaku. Materiali i shtrirë ngjyroset me Right-Giemsa.

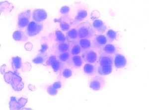
Diagnoza citologjike e një tumori të gjirit në qen
Teknika me shtypje (impresion) mbi lamë – Nodula apo masa tumorale mund të kalcifikohet, kështu që teknika FNA nuk jep rezultatet e dëshiruara. Në këto kushte përdoret teknika me impresion ose gjurmë mbi lamë. Masa vendoset mbi lamë, duke ushtrua pak presion në mënyrë që të mbeten gjurma ose impresioni i përmbajtjes së lezionit dhe pas tharjes ngjyrosen me Right-Giemsa.
Teknika me gërryrje – Kjo teknikë kryhet me anë të bisturisë, nga ana e topitur e saj, që përdoret për gërryrjen e sipërfaqes së tumorit. Materiali i përftuar nga lezioni shtrihet mbi lamë, thahet në temperaturën e mjedisit, fiksohet me alkool dhe ngjyroset me Right-Giemsa.
Interpretimi citologjik ka për qëllim të dallojë qelizat e inflamacionit, hiperpastike ose neoplastike.
Pergatiti: Luljeta Dhaskali





